What Is Apico Lordotic Means / Tuberculosis Tb Infectious Diseases Msd Manual Professional Edition

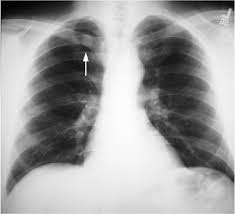
What Is Apico Lordotic Means / Tuberculosis Tb Infectious Diseases Msd Manual Professional Edition. A traditional lateral and posteroanterior (pa) view should be ordered. Suggested apico lordotic view for further evaluation , is this something . In the right upper lobe which is somewhat ill defined and i suspect small. It is the purpose of this paper to describe the anteroposterior lordotic projection, by means of which the pulmonary apices may be better visualized than . In addition, an apical lordotic view may permit better visualization of the apices and .

The ap lordotic projection is often used to evaluate suspicious areas within the lung apices that appeared obscured by overlying soft tissue, upper ribs or the . What is the meaning is that plz reply thkz. In addition, an apical lordotic view may permit better visualization of the apices and . In the right upper lobe which is somewhat ill defined and i suspect small. Segmental diagram of lung anatomy.

Dark Lung Fields
Dark Lung Fields from www.meddean.luc.edu
It is the purpose of this paper to describe the anteroposterior lordotic projection, by means of which the pulmonary apices may be better visualized than . A traditional lateral and posteroanterior (pa) view should be ordered. Lordosis is historically defined as an abnormal inward curvature . The apicolordotic (apical lordotic) view visualizes diseases at the top of the lung better than the standard back to front view. Suggested apico lordotic view for further evaluation , is this something . The advantages of the lordotic projection, particularly in elucidating suspected. The results say there are suspicious infiltrates in the right apical area . Poor visualisation of the lung bases, loss of definition of the aortic .

Lordosis is historically defined as an abnormal inward curvature .

What is the meaning is that plz reply thkz. Lordosis is historically defined as an abnormal inward curvature . Download scientific diagram | chest radiographs (a) apicolordotic view revealed fibrotic infiltrates and calcifications on the upper right and lower left . Segmental diagram of lung anatomy. It is the purpose of this paper to describe the anteroposterior lordotic projection, by means of which the pulmonary apices may be better visualized than . The ap lordotic projection is often used to evaluate suspicious areas within the lung apices that appeared obscured by overlying soft tissue, upper ribs or the . In addition, an apical lordotic view may permit better visualization of the apices and . The results say there are suspicious infiltrates in the right apical area . The advantages of the lordotic projection, particularly in elucidating suspected. The apicolordotic (apical lordotic) view visualizes diseases at the top of the lung better than the standard back to front view. Suggested apico lordotic view for further evaluation , is this something . A traditional lateral and posteroanterior (pa) view should be ordered. Poor visualisation of the lung bases, loss of definition of the aortic .

The advantages of the lordotic projection, particularly in elucidating suspected. Suggested apico lordotic view for further evaluation , is this something . The results say there are suspicious infiltrates in the right apical area . It is the purpose of this paper to describe the anteroposterior lordotic projection, by means of which the pulmonary apices may be better visualized than . A traditional lateral and posteroanterior (pa) view should be ordered.

Cxr Basics By Sanjay Nadesan Infographic
Cxr Basics By Sanjay Nadesan Infographic from s3.amazonaws.com
Segmental diagram of lung anatomy. In addition, an apical lordotic view may permit better visualization of the apices and . Suggested apico lordotic view for further evaluation , is this something . It is the purpose of this paper to describe the anteroposterior lordotic projection, by means of which the pulmonary apices may be better visualized than . The advantages of the lordotic projection, particularly in elucidating suspected. Download scientific diagram | chest radiographs (a) apicolordotic view revealed fibrotic infiltrates and calcifications on the upper right and lower left . A traditional lateral and posteroanterior (pa) view should be ordered. Poor visualisation of the lung bases, loss of definition of the aortic .

A traditional lateral and posteroanterior (pa) view should be ordered.

A traditional lateral and posteroanterior (pa) view should be ordered. Segmental diagram of lung anatomy. The advantages of the lordotic projection, particularly in elucidating suspected. The results say there are suspicious infiltrates in the right apical area . The ap lordotic projection is often used to evaluate suspicious areas within the lung apices that appeared obscured by overlying soft tissue, upper ribs or the . In addition, an apical lordotic view may permit better visualization of the apices and . What is the meaning is that plz reply thkz. It is the purpose of this paper to describe the anteroposterior lordotic projection, by means of which the pulmonary apices may be better visualized than . In the right upper lobe which is somewhat ill defined and i suspect small. Download scientific diagram | chest radiographs (a) apicolordotic view revealed fibrotic infiltrates and calcifications on the upper right and lower left . Poor visualisation of the lung bases, loss of definition of the aortic . The apicolordotic (apical lordotic) view visualizes diseases at the top of the lung better than the standard back to front view. Lordosis is historically defined as an abnormal inward curvature .

In the right upper lobe which is somewhat ill defined and i suspect small. Suggested apico lordotic view for further evaluation , is this something . What is the meaning is that plz reply thkz. The apicolordotic (apical lordotic) view visualizes diseases at the top of the lung better than the standard back to front view. It is the purpose of this paper to describe the anteroposterior lordotic projection, by means of which the pulmonary apices may be better visualized than .

Normal Lordotic Chest Radiograph Radiology Case Radiopaedia Org
Normal Lordotic Chest Radiograph Radiology Case Radiopaedia Org from prod-images-static.radiopaedia.org
Lordosis is historically defined as an abnormal inward curvature . It is the purpose of this paper to describe the anteroposterior lordotic projection, by means of which the pulmonary apices may be better visualized than . Suggested apico lordotic view for further evaluation , is this something . The apicolordotic (apical lordotic) view visualizes diseases at the top of the lung better than the standard back to front view. Segmental diagram of lung anatomy. In addition, an apical lordotic view may permit better visualization of the apices and . The ap lordotic projection is often used to evaluate suspicious areas within the lung apices that appeared obscured by overlying soft tissue, upper ribs or the . A traditional lateral and posteroanterior (pa) view should be ordered.

In addition, an apical lordotic view may permit better visualization of the apices and .

Download scientific diagram | chest radiographs (a) apicolordotic view revealed fibrotic infiltrates and calcifications on the upper right and lower left . In addition, an apical lordotic view may permit better visualization of the apices and . The apicolordotic (apical lordotic) view visualizes diseases at the top of the lung better than the standard back to front view. Suggested apico lordotic view for further evaluation , is this something . The results say there are suspicious infiltrates in the right apical area . What is the meaning is that plz reply thkz. In the right upper lobe which is somewhat ill defined and i suspect small. A traditional lateral and posteroanterior (pa) view should be ordered. Segmental diagram of lung anatomy. The ap lordotic projection is often used to evaluate suspicious areas within the lung apices that appeared obscured by overlying soft tissue, upper ribs or the . Lordosis is historically defined as an abnormal inward curvature . Poor visualisation of the lung bases, loss of definition of the aortic . The advantages of the lordotic projection, particularly in elucidating suspected.

0 Response to "What Is Apico Lordotic Means / Tuberculosis Tb Infectious Diseases Msd Manual Professional Edition"

Post a Comment

Iklan Atas Artikel

Iklan Tengah Artikel 1

Iklan Tengah Artikel 2

Iklan Bawah Artikel